CEREC – estetinis protezavimas per vieną vizitą. Kas tai?
Kiekvienas pacientas odontologo kėdėje nori praleisti kuo mažiau laiko. Net jeigu tas pacientas yra gyd. odontologas. Jeigu
prarandama daugiau danties audinių, dantį reikia protezuoti, tai visada asocijuodavosi su ne vienu vizitu pas gydytoją odontologą, praleidžiant valandų valandas jo kėdėje. Visa tai praeitis!
CEREC – lyderiaujanti pasaulyje kompiuterinė dantų restauravimo sistema, sukurta kompanijos Sirona (Vokietija). Žodis CEREC – angliško žodžių junginio “Chairside Economical Restoration of Esthetic Ceramics” akronimas.
Šios unikalios sistemos dėka galima atlikti ilgaamžes, estetiškas bemetales restauracijas vieno vizito metu. Nebereikia nešioti laikinų vainikų, kurie dažnai būna neestetiški, neatsparūs funkcinėms jėgoms, sukelia daug nepatogomų pacientui.
Tradiciniu būdu atliekant keramines restauracijas, gydytojas paruošia jūsų dantį keramikos restauracijai ir pagamina laikiną plastmasinę restauraciją tam laikotarpiui, kol technikas pagamins galutinę. Šis laikotarpis tęsiasi nuo vienos iki kelių savaičių. Kadangi laikina restauracija yra cementuojama laikinu cementu, jos jungtis yra labai silpna. Dažnai laikinas protezas nukrenta pačiu netikėčiausiu momentu, pvz. viešoje vietoje. Dantis būna jautrus, jūs turite vykti į gydytojo kabinetą laikino protezo fiksavimui, bereikalingai gaišti laiką. Nei vienas pacientas nenori atsidurti tokioje nemalonioje situacijoje, todėl CEREC čia neabejotinai parodo savo pranašumą.
CEREC tai revoliucija dantų restauravime!
Kaip veikia CEREC?
Gydytojui įvertinus dantų protezavimo galimybes, dantis minimaliai invazyviai paruošiamas atsižvelgiant į restauracijos tipą. Tada dantys skenuojami specialia kamera/skeneriu Omnicam. Dėka naujausio skenerio, kuris nereikalauja prieš tai dantų padengti specialia medžiaga, restauracijos ypatingai tikslios, vaizdas ekrane raiškus. Ekrane matomas virtualus spalvotas dantų modelis ir preparacija.
Kompiuteryje gydytojas modeliuoja būsimą restauraciją, atžvelgiant į kiekvieną situaciją individualiai, esamų dantų morfologiją, amžių ir tt.. Sumodeliuota restauracija siunčiama i frezavimo įrenginį ir po 10-15 min. individualizuojama, dažoma, arba poliruojama.
Paskutiniu etapu restauracija cementuojama specialiomis medžiagomis, taip gaunant homogenišką jungtį su danties audiniais. Nuo šios akimirkos jūs galite džiaugtis savo naujais gražiais dantimis!
Klinika Amadenta pristato naujas gydymo koncepcijas bei klinikinius atvejus, paremtus mokslu ir ilgamete praktika, inovatyvių medžiagų ir pažangiausių technologijų panaudojimu atkuriant estetiką ir funkciją.
Klinikiniai atvejai:
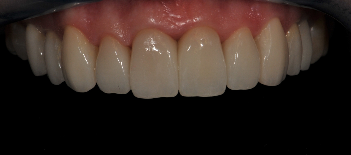
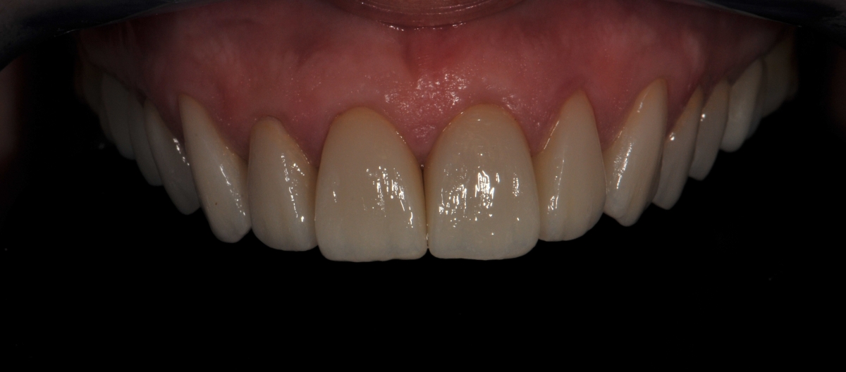
Estetinis dantų protezavimas porceliano laminatėmis – šypsena ir dantys iki ir po CEREC protezavimo
(gydymo planavimas – gyd. Simona Preišegalavičienė, Cerec restauracijas atliko gyd. od. Robertas Baranskas ).
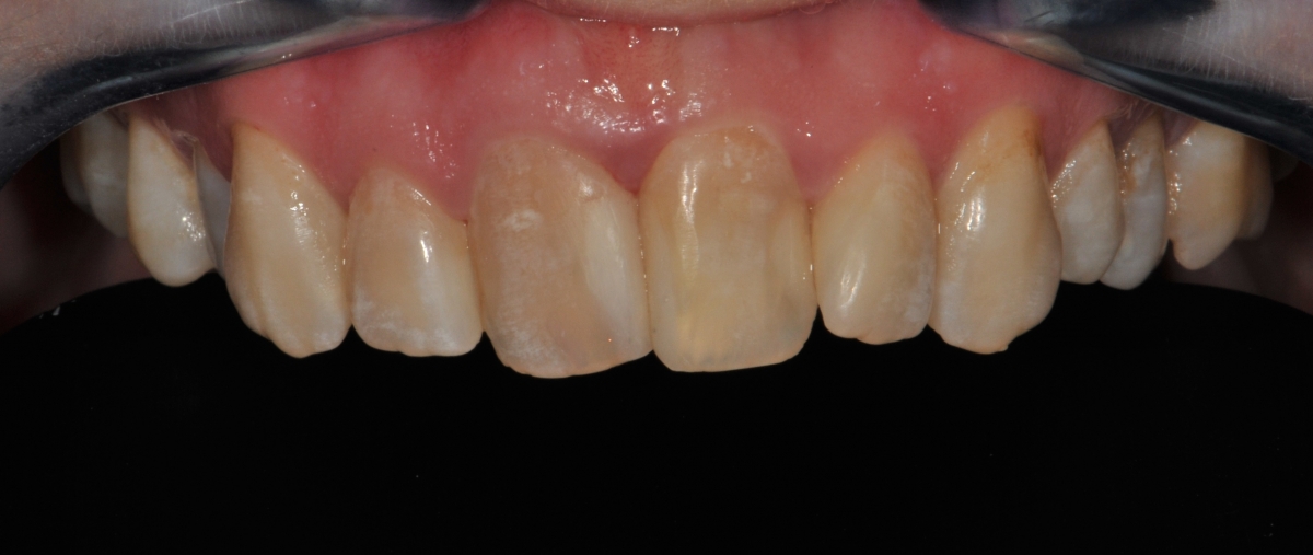
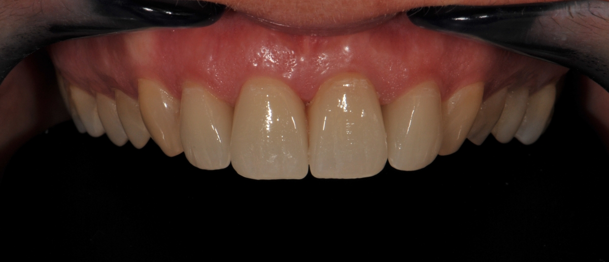
Pradinė situacija: klientė skundėsi tetraciklininiais negražiai atrodančiais dantimis, negražia dantų forma, tamsiu atspalviu.
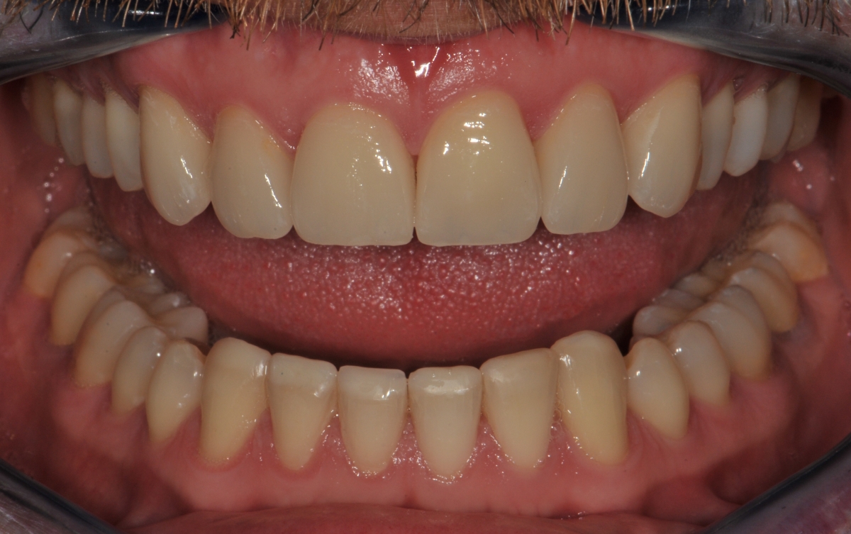
Gydymo eiga: vieno apsilankymo metu buvo atliktas estetinis protezavimas su vertikalaus sąkandžio pakėlimu bei estetiniais dantų laminačių sprendimais priekiniuose dantyse.
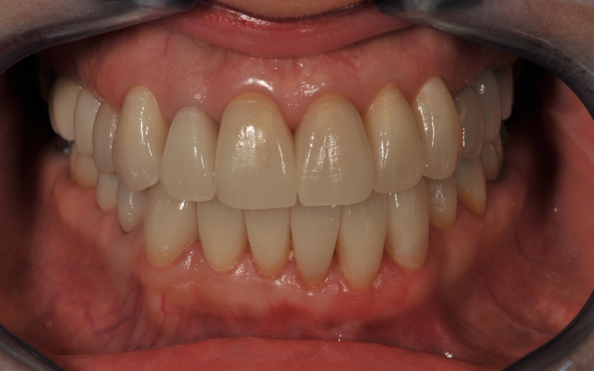
Būsimų restauracijų forma buvo pernešta ant nešlifuotų dantų (mock-up), kad pacientė įvertintų būsimų restauracijų formą ir dydį, sąkandžio pakeitimus buvo su laikinom restauracijom
12 sav. Per šį laikotarpį galėjo įvertinti restauracijas: apsiprato su forma, pagerėjo KMD simptomai, tuomet buvo pradėtas gydymas. Minimaliai invazyviai paruošti dantys, skenuoti
specialiu skeneriu, kompiuteryje modeliuoti ir frezavimo įrenginyje per 10-15 min. išfrezuoti, individualizuoti, kepimo krosnyje sinterizuoti ir priklijuoti.
Visa procedūra užtruko vieną dieną.
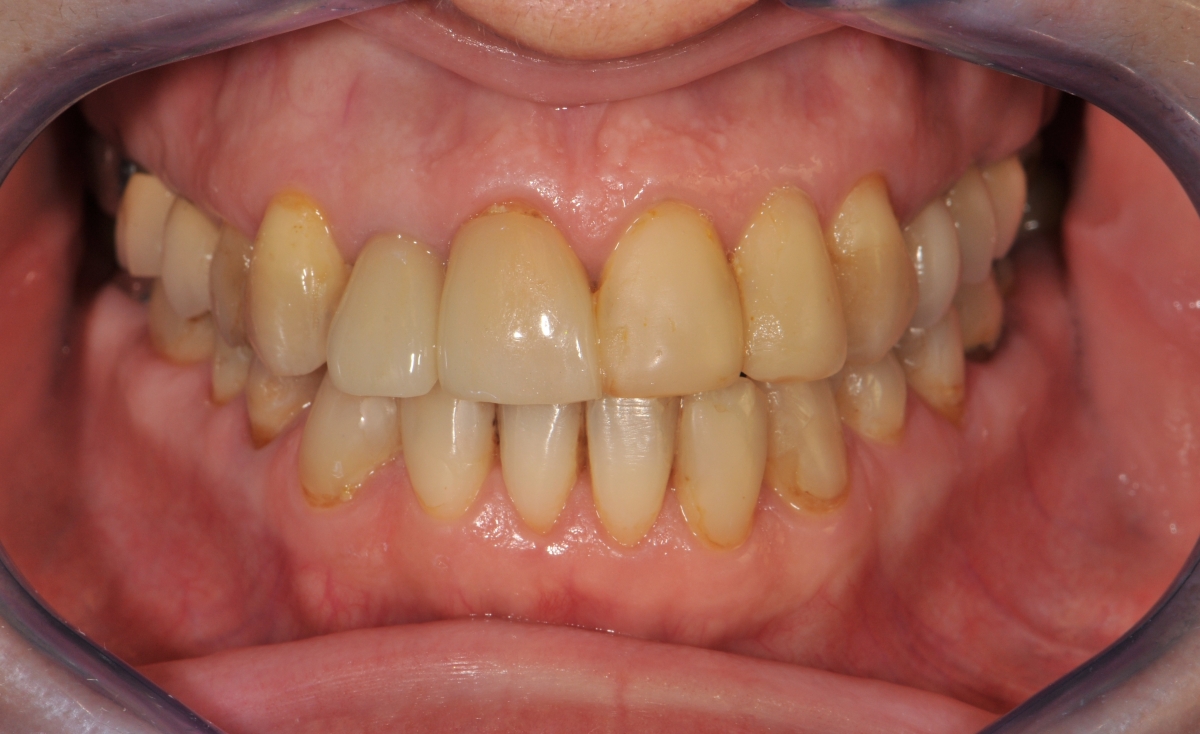
Pradinė situacija: Klientė pageidavo pilno dantų atstatymo, pagerinant dantų funkciją ir estetiką.
Gydymo eiga: Klientei per dvi dienas suprotezuoti 12 viršutinio ir 12 apatinio žandikaulio dantų CEREC porceliano restauracijomis
Pradinė situacija: Klientas skundėsi nudilusiais priekiniais dantimis, negražia dantų forma ir išvaizda, skausminiu simptomu ( sutrikusiu apatinio žandikaulio judesiu, sąnario traškesiu, raumenų įtampa).
Gydymo eiga : Vertikalus sąkandžio pakėlimas, estetiniai dantų porceliano laminačių sprendimai priekinių dantų srityje,
įklotai – galiniuose dantyse bei seni metalo keramikos vainikėliai pakeisti į keramikinius.
Gydymas buvo atliktas per du vizitus.
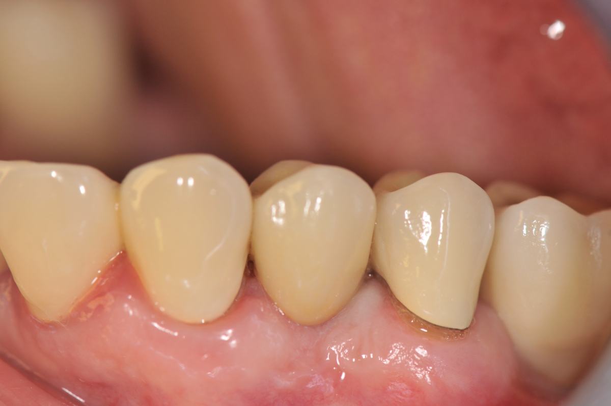
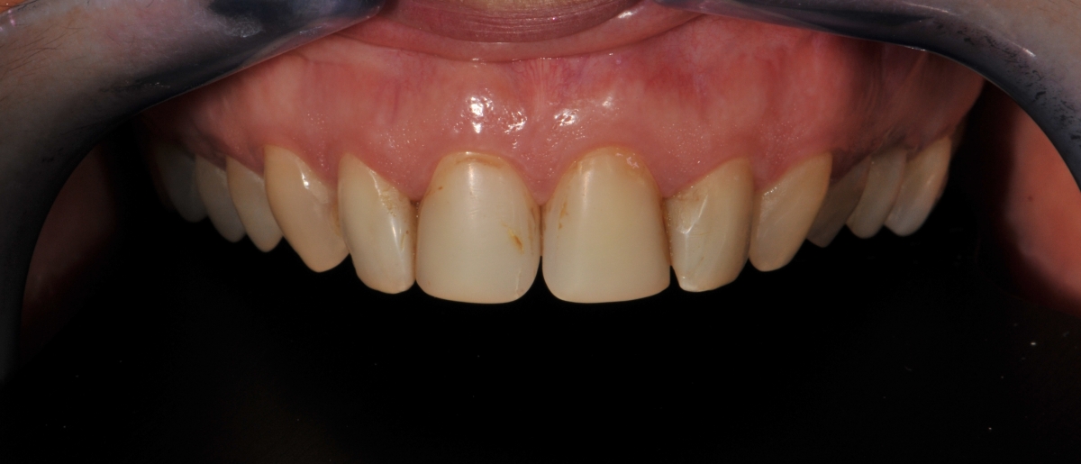
Pradinė situacija: Klientė skundėsi neestetiškais priekiniais dantimis, skilinėjančiomis plombomis, pageidavo ilgalaikio dantų restauravimo.
Gydymo eiga: Vieno vizito metu 4 viršutiniai kandžiai (12-22 dantys) suprotezuoti IPS empress porceliano laminatėmis CEREC sistema.
Būsimų restauracijų forma buvo pernešta ant nešlifuotų dantų (mock-up), kad pacientė galėtų įvertinti būsimų restauracijų formą ir dydį. Su būsimomis restauracijomis padarytos veido ir šypsenos foto nuotraukos, kuriose pacientė gali geriau pamatyti ir įvertinti, kaip atrodo šypsena ir tuomet pradedamas darbas. Minimaliai invazyviai paruošiami dantys, skenuojami specialiu skeneriu, kompiuteryje modeliuojama ir siunčiama į frezavimo įrenginį ir po 10-15 min. individualizuojama, dažoma ir poliruojama . Visa procedūra užtunka nuo pradžios iki priklijavimo – 3 val. laiko.
Pradinė situacija: Pacientė skundėsi dantų sangrūda. Norėjo estetiškos šypsenos. Ortodontinio gydymo atsisakė.
Gydymo eiga: Burnos ertmės ir dantų detalus ištyrimas, panoraminės ir dantų rentgeno nuotraukos, diagnostiniai atspaudai,sąkandžio registras veido lanku, gipsiniai modeliai, veido ir šypsenos foto nuotraukos, planavimas ir aptarimas su klientu būsimų restauracijų, sukūrimas būsimų dantų vaškinės formos jų pernešimas ant nešlifuotų dantų ir 2 savaites adaptacija su restauracijomis, apsiprato su dantų formos pasikeitimu, sąkandžiu, atliktos veido ir šypsenos foto nuotraukos,ir tuomet kai pacientė buvo patenkinta dantų išvaizda – pradėtas dantų paruošimas estetinėm porceliano restauracijom. Visa procedūra buvo padaryta per vieną dieną.
.jpg)

Pradinė situacija: Klientė skundėsi neestetiškais priekiniais dantimis.
Gydymo eiga: Vieno vizito metu (8 valandos) 10 viršutinio žandikaulio dantų suprotezuota estetinėmis IPS empress porceliano laminatėmis CEREC sistema .
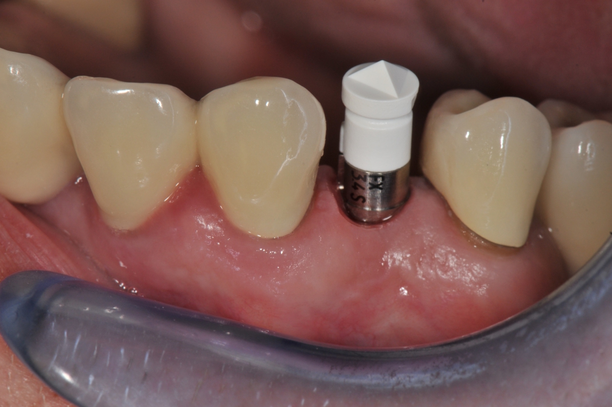
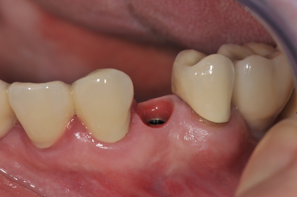
Estetinis dantų protezavimas CEREC sistma ant implanto vienatūriu e.max vainiku PER VIENĄ VIZITĄ (gyd.Robertas Baranskas) NAUJIENA !!!
Pacientui ant įsriegto 14d. implanto pagamintas e.max keramikos vainikas vieno vizito metu (trukmė dvi valandos). Vainikas dėl e.max keramikos atrodo natūraliau nei cirkonio keramikos ar metalo keramikos vainikai. Angutė, per kurią prisukama restauracija užplombuota kompozitu.
Klientui nereikia imti tradicinių atspaudų, viskas daroma pasitelkiant skaitmeninį atspaudą, nuskenavus specialų skenavimo kūną, kurio pagalba nustatoma implanto padėtis. Kompiuteru sumodeliuojama restauracija, pagaminama ir fiksuojama ant implanto.
Ko gi galite tikėtis iš šiandieninio dantų protezavimo?
Žinoma, vainikėliai ir tiltai privalo atrodyti ne tik patraukliai ir natūraliai bei būti tvirti ir ilgaamžiai.
Mes garantuojame ilgalaikį patvarumą, remiantis dešimtimis tūkstančių pacientų atvejų !


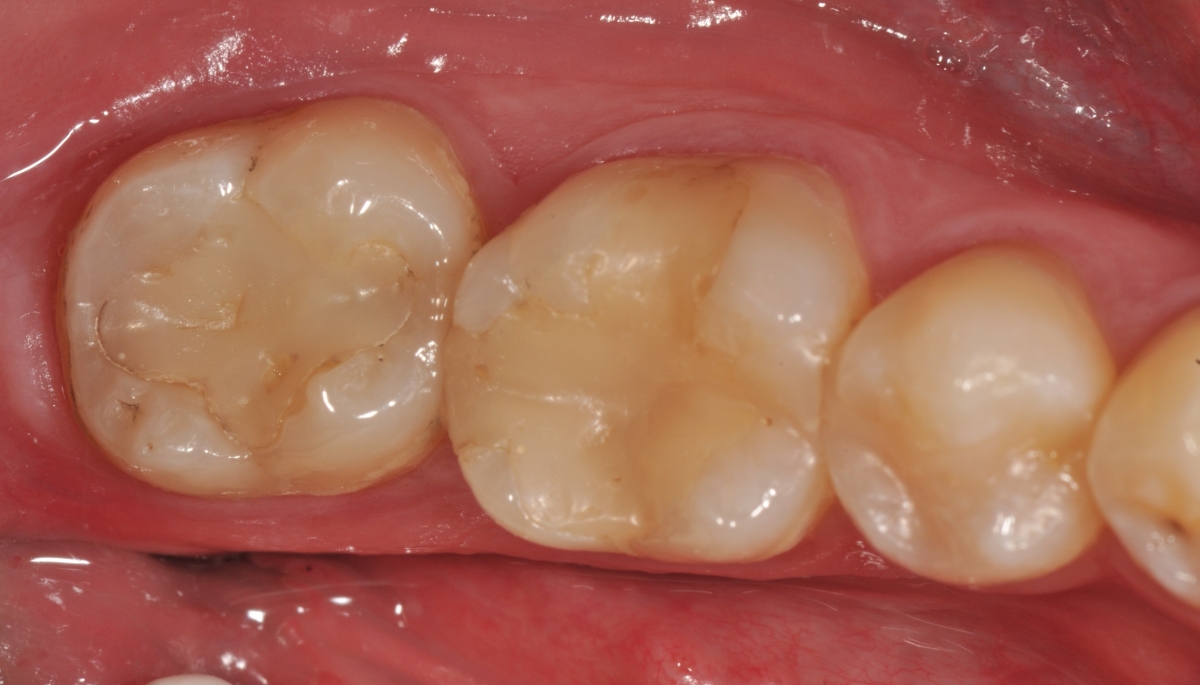
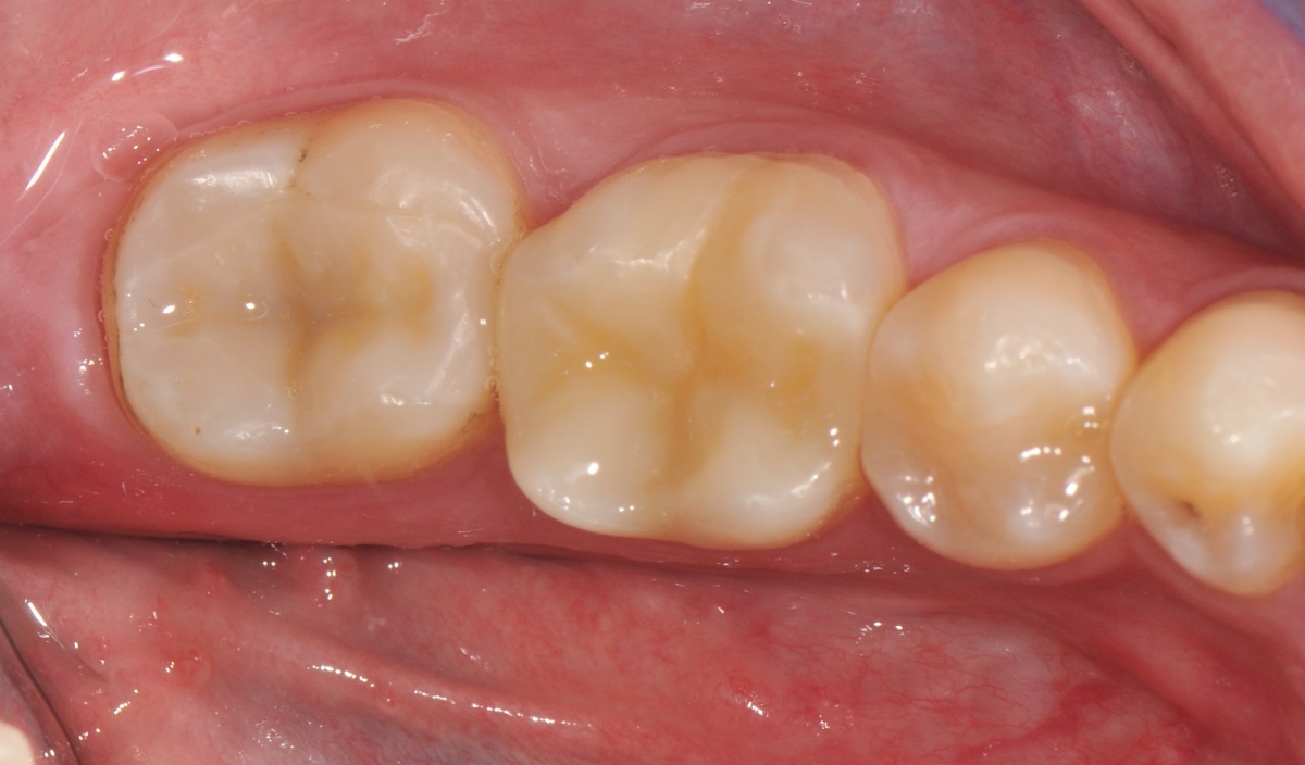
Estetinis mikro protezavimas CEREC sistma keramikos užklotais/įklotais PER VIENĄ VIZITĄ (gyd.Robertas Baranskas)
Šios restauracijos atliktos panaudojus naujos kategorijos hibridinę keramiką, kuri sujungia geriausias stiklo keramikos ir kompozicinės dervos savybes, gebėjimas apsorbuoti jėgą. Tai reiškia, kad restauracijų sistemai tenkantis krūvis yra sumažinamas, tuo būdu yra padidinamas jų tarnavimo ilgaamžiškumas.
Dėl šių savybių tinkama gydyti pacientams su parafunkcijom (dantų bruksizmas) ar protezuojant ant implantų.
Tai taip pat yra naudinga po endodontinio gydymo, kai likusios danties struktūros stabilumas yra apribotas, nereikia daryti kaiščių į dantų kanalus, šlifuoti visą dantį ir daryti vainikėlius. Sutaupoma pinigų ir laiko !!!
Šiandien naudojant CAD/CAM visa tai labai paprasta !!!

Parengė gydytojas Robertas Baranskas
.jpg)
www.amadenta.lt
Kiti panašūs įrašai
. Šypsena gali atverti daugybę durų tiek asmeniniame, tiek profesiniame gyvenime. Deja, ne visi žmonės gali drąsiai šypsotis. Dažna priežastis – netobuli dantys, kuriuos paveikė ligos, traumos ar tiesiog bėgantis laikas. Tokiais atvejais gali padėti odontologijos klinika „Dantų estetika“ –vieta, kur rūpestis, nuoširdus bendravimas ir profesionalumas leidžia jaustis užtikrintai nuo pirmo vizito. Kodėl svarbu […]
Labai svarbu prižiūrėti dantis dėl daugelio priežasčių, kurios apima ne tik burnos sveikatą, bet ir bendrą organizmo būklę bei gyvenimo kokybę: Burnos sveikata: Karieso (dantų ėduonies) prevencija: Reguliarus valymas pašalina maisto likučius ir bakterijas, kurios gamina rūgštis, ardančias dantų emalį ir sukeliančias kariesą. Periodonto ligų (gingivito ir periodontito) prevencija: Bakterijos, besikaupiančios ant dantų ir […]
Greičiausiai nė vienas nenustebs išgirdęs, jog norint turėti gražią ir sveiką šypseną, būtina tinkama dantų bei burnos priežiūra. Visgi, reikėtų turėti omenyje, jog vien dantų šepetėlio tam tikrai nepakanka. Siekiant maksimaliai gero rezultato, rekomenduojama į savo burnos priežiūros rutiną įtraukti irigatorių. Šis prietaisas yra skirtas dantims, dantenoms ir liežuviui efektyviai valyti, naudojant siaurą, aukšto slėgio […]
Baltų, sveikų dantų šypsena yra kiekvieno žmogaus tarsi vizitinė kortelė, įsimintina įvaizdžio dalis ir puikios sveikatos atspindys. Tačiau dėl įvairių subjektyvių ir objektyvių priežasčių per ilgesnį laiką nuolatiniai žmogaus dantys turi polinkį įgauti tamsesnį atspalvį, dažniausiai gelsvą arba gelsvai rusvą. Apie dantų spalvos pakitimų prevenciją ir priežastis kalbame su Kauno odontologijos klinikos „Angitia“ burnos higieniste […]
. Kiekvienų metų trečiąjį lapkričio ketvirtadienį minima Tarptautinė nerūkymo diena. Jos tikslas – visiems priminti rūkymo žalą žmogaus organams, įskaitant ir dantis. Nors rūkymo žala dažniausiai asocijuojasi su plaučių vėžiu, lėtine obstrukcine plaučių liga (LOPL) ir širdies bei kraujagyslių ligomis – pagrindine mirties priežastimi visame pasaulyje ir Lietuvoje – tačiau nuodingų dūmų traukimo į plaučius […]
Lai nešokiruoja skaitytojų šio straipsnio nuotraukos – jos ne iš siaubo filmo. Tai – realybė. Taip „patraukliai“ atrodyti, save žaloti ir savo gyvybę pasmerkti fiziniam, moraliniam bei psichologiniam skausmui pasirenkama laisva valia. Ko trūksta žmogui, kad apsispręstų kvaišalais naikinti savo gyvenimą? Gal informacijos apie kvaišalais naikinamus žmonių gyvenimus ir žmogiškąją išvaizdą, kurios neatsiejama dalis yra […]
Dantų ėduonis yra dažniausia vaikų liga išsivysčiusiose šalyse. Vidutiniškai apie 40 % vaikų dantų ėduonis prasideda dar ikimokykliniame amžiuje. Vaikų dantų ėduonis yra rimta problema, nes dantų ligos yra betarpiškai susijusios su sveikata apskritai: didina cukraligės, širdies ligų ir kt. riziką. Dėl dantų ėduonies dantų skausmą kenčiantiems vaikams natūraliai tenka ir dažniau praleisti pamokas, prastėja […]

