Kad Covid-19 karantinas nesukeltų dantų problemų

Odontologijos klinikos pagal numatytus Covid-19 karantino švelninimo LR etapus galės pradėti teikti planines odontologijos paslaugas vienos paskutiniųjų. Ši tvarka numatyta dėl ypatingai didelės pasekmių rizikos ir labai aukšto saugumo lygio. Nes procedūrų metu yra labai artimas kontaktas tarp odontologo veido ir atviros paciento burnos. Burnos higieną numatyta teikti tarp paskutiniųjų odontologijos paslaugų, todėl šiandien kaip niekada svarbu tinkamai ir kruopščiai prisižiūrėti dantų ir burnos ertmės švarą patiems.
Apie dantų priežiūros svarbą ir priemones sutiko pasidalinti savo patirtimi ir nuomone Kauno odontologijos klinikos „Angitia“ vadovas ir implantuojantis odontologas Mindaugas Gaučys.
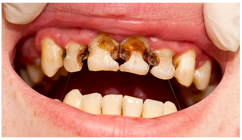
Turbūt nėra kitos srities, apie kurią tiek daug žinoma ir tiek mažai daroma. Tai burnos ir dantų priežiūra. Per pusę amžiaus odontologijos žinios ir burnos priežiūros priemonės pakilo į neregėtas aukštumas, tačiau – sunku net patikėti – vis dar ~90 % vaikų ir suaugusiųjų dantys yra pažeisti dantų ėduonies.
Jokie moderniosios medicinos pasiekimai ir žinios negali padėti, jeigu jomis nesinaudojama. Kol dantys dar neprarasti – į burnos higienos svarbą dalis žmonių rimtai nežiūri; kai dantys prarasti – nebėra į ką žiūrėti. Netekus dantų prasideda dar rimtesnės problemos arba dar brangesnis ir sudėtingesnis jų atkūrimas nei savų dantų priežiūra. Beje, atkurtus dantis prižiūrėti t. p. būtina.
Burnos higiena ypač aktuali karantino metu. Žmonės, kurie ir taip nepersistengia dėl savo burnos ir dantų sveikatos, būdami namuose kartais linkę dar labiau apleisti burnos ir dantų priežiūrą. Pabrėžtina, kad svarbu ne tik kasdien kruopščiai valyti dantis, bet ir nugramdyti liežuvio apnašas – mikrobų, bakterijų bei virusų sluoksnį.

Covid-19 daugeliui odontologijos klinikų teikiant tik būtiniausias paslaugas, nebeliko nei burnos higienos procedūros, nei profilaktinės dantų apžiūros, nei smulkių dantų problemų tvarkymo galimybių. Todėl netinkamos burnos ir dantų priežiūros pasekmės gali staiga peraugti į rimtas ir sunkias sveikatos problemas. O kas tuomet? Savigyda vaistais skausmo priežasties nepašalins, tad problema gilės ir aštrės. Skubios odontologinės pagalbos klinikos, tikėtina, skausmą numalšins ilgesniam laikui. Tačiau tolesnis danties gydymas nėra neatidėliotina pagalba. Palankiausias sprendimas – dantimis nuolat rūpintis ir problemų išvengti, juo labiau – Covid-19 karantino metu.
Dantų skausmas – dar ne viskas. Dantų problemos, kaip ir bet kurios kitos sveikatos problemos, nėra izoliuotos – jos silpnina visą organizmą. Mūsų organizmo resursai nėra begaliniai – jei imuninė sistema kovoja su vienomis problemomis, tuo pat metu su kitomis ji gali ir nesusidoroti; pvz., su Covid-19 virusu. Todėl pravartu dar sykį prisiminti, kaip reikia teisingai prižiūrėti burną, kurie metodai iš tiesų veikia, o kurie ne.
Dantų valymas šepetėliu
Valymas šepetėliu yra pati paprasčiausia priemonė, apie kurią žino visi nuo vaikystės, tačiau svarbu dantis valyti teisingai.
Dalis žmonių vis dar mano, kad pora kartų per dieną bet kaip pabrūžinti dantis šepetėliu yra pakankama burnos priežiūra. Ir toks požiūris – ne pats blogiausias: yra manančių, kad dantų valyti išvis nereikia arba jų valymą atstoja, pvz., suvalgytas obuolys.

Valyti dantis rekomenduojame šluojamaisiais judesiais nuo dantenų link kramtomojo dantų paviršiaus, ne atvirkščiai – kad „nesušluoti“ po dantenomis apnašų su mikrobais. Ypač svarbu, kokio kietumo dantų šepetėlis tinka Jūsų dantims. Racionalu pasikonsultuoti su odontologu, o kol karantino metu tokios galimybės nėra – geriau pirkti šepetėlį minkštesnį. Šiurkštus šepetėlis ar per stipriai panaudota jėga tik pridarys žalos.
Dantų šepetėlį būtina keisti kas 2-3 mėn. ir jokiu būdu nelaukti, kol šereliai išsikeros į visas puses. Esmė – nors šepetėlis gali atrodyti tvarkingas, tačiau bus nusidėvėję mikrošereliai, todėl dantų valymo rezultatas bus prastas.

Beje, „dantų valymas“ yra kiek klaidinantis pavadinimas, teisingiau būtų „burnos valymas“. Be dantų, burnoje dar yra dantenos ir kiti paviršiai, ant kurių gali kauptis bakterijos. Jei nuvalysime išimtinai tik dantis – nors tai geriau nei nieko – laukiamos naudos daug nebus. Svarbu švelniai nuvalyti minkštu dantų šepetėliu bei kruopščiai nuskalauti vandeniu ir dantenas, ir burnos gleivinės paviršių. Kaip jau minėta, įvairūs mikrobai kaupiasi ir liežuvio apnašose, kurias valyti t. p. būtina.
Dantų siūlas
Anglų kalboje kartais naudojamas toks palyginimas – „tai yra kaip dantų siūlas – visi žino ir sutinka, kad reikia naudoti, bet niekas nenaudoja“. Nors šis posakis gal šiek tiek pesimistinis, nes dantų siūlo naudojimas vis populiarėja, tačiau yra ir kita tiesa – net ir žinantys dantų siūlo naudą, juo naudojasi ne taip dažnai, kaip reikėtų. Dalis žmonių galvoja, kad tai yra kažkoks papildomas užsiėmimas, neturint ką veikti. Manyti, „gal ir bus kažkiek naudos su siūlu, bet jei nesivalysiu – blogiau nebus ir be siūlo“ – netiesa.

Tarpdančiuose įstrigę maisto likučiai ir apnašos yra viena iš svarbiausių dantų ėduonies ir kitų problemų priežasčių. Net ir specialiai pagal jūsų dantis parinkti šepetėliai tarpdančius išvalo labai menkai. Juo labiau, kad dalis žmonių naudoja atsitiktinius prekybos centre rastus šepetėlius, o šie tarpdančių praktiškai neišvalo. Dantų siūlas yra būtina kasdienė dantų priežiūros priemonė kaip ir dantų šepetėlis.
Skalavimo skystis
Tinkamai nuvalius dantis šepetėliu ir dantų siūlu, išsivalius burną bei nugramdžius liežuvį, atskirais atvejais galima išskalauti burną skalavimo skysčiu. Skalavimo skystis dažniausiai skiriamas po intervencijos, pvz., išrovus dantį ar atlikus kitą chirurginę procedūrą. Savo nuožiūra vartoti skalavimo skysčio nerekomenduojame.
Gaivieji gėrimai, alkoholis, rūkymas
Alkoholis ir vadinamieji „sugar free“ gėrimai be cukraus vis tiek kenkia dantims. Apie tai būtų galima parašyti atskirus straipsnius. Kenkia ne tik šių gėrimų kontaktas su dantimis, bet ir įvairios juose esančios medžiagos, kurių perteklius gali mažinti kalcio kiekį organizme. Naudojant viską saikingai, problemų dantims neturėtų kilti. Nors sąvoka „saikingai“ yra suvokiama labai įvairiai ir subjektyviai, tačiau nereiškia „saikingo“ gėrimo kaskart užsinorėjus gerti. Geriausias gėrimas yra vanduo. O saldžiuosius gėrimus geriau gerti per šiaudelį, sumažinant jų sąlytį su dantimis.

Rūkymas ir sveiki, balti, švarūs dantys, gaivus burnos kvapas – nesuderinami. Rūkymo žala begalinė, ir nieko naujo. Kiekvieno juk pasirinkimas – savo sveikatą tausoti ir stiprinti ar vergauti savo ydoms ir tabako dūmais organizmą nuodyti ir alinti. Covid-19, tikėtina, sąmoningi žmonės prioritetą teikia sveikatos stiprinimui.
Nenaudoti dantų ne pagal paskirtį
Dantys skirti ir pritaikyti maisto kramtymui. Bandant perkąsti, pvz., laidą, riešutų kevalus ar kitus kietus daiktus, dantys silpninami ir žalojamas emalis, jau nekalbant apie riziką dantį išsilaužti; ypač – jei dantis jau yra pažeistas dantų ėduonies. Tad geriau ne maisto produktų nekandžioti, o prireikus naudoti žirkles, žnyples ar kitus tinkamus įrankius.
Prisiminkite kasdien savo dantų būklę ir skirkite jiems reikiamą dėmesį, kad galimos dantų problemos ar skausmas netemdytų Šv. Velykų džiaugsmo.
UAB „Angitia“
Kiti panašūs įrašai
. Šypsena gali atverti daugybę durų tiek asmeniniame, tiek profesiniame gyvenime. Deja, ne visi žmonės gali drąsiai šypsotis. Dažna priežastis – netobuli dantys, kuriuos paveikė ligos, traumos ar tiesiog bėgantis laikas. Tokiais atvejais gali padėti odontologijos klinika „Dantų estetika“ –vieta, kur rūpestis, nuoširdus bendravimas ir profesionalumas leidžia jaustis užtikrintai nuo pirmo vizito. Kodėl svarbu […]
Labai svarbu prižiūrėti dantis dėl daugelio priežasčių, kurios apima ne tik burnos sveikatą, bet ir bendrą organizmo būklę bei gyvenimo kokybę: Burnos sveikata: Karieso (dantų ėduonies) prevencija: Reguliarus valymas pašalina maisto likučius ir bakterijas, kurios gamina rūgštis, ardančias dantų emalį ir sukeliančias kariesą. Periodonto ligų (gingivito ir periodontito) prevencija: Bakterijos, besikaupiančios ant dantų ir […]
Greičiausiai nė vienas nenustebs išgirdęs, jog norint turėti gražią ir sveiką šypseną, būtina tinkama dantų bei burnos priežiūra. Visgi, reikėtų turėti omenyje, jog vien dantų šepetėlio tam tikrai nepakanka. Siekiant maksimaliai gero rezultato, rekomenduojama į savo burnos priežiūros rutiną įtraukti irigatorių. Šis prietaisas yra skirtas dantims, dantenoms ir liežuviui efektyviai valyti, naudojant siaurą, aukšto slėgio […]
Baltų, sveikų dantų šypsena yra kiekvieno žmogaus tarsi vizitinė kortelė, įsimintina įvaizdžio dalis ir puikios sveikatos atspindys. Tačiau dėl įvairių subjektyvių ir objektyvių priežasčių per ilgesnį laiką nuolatiniai žmogaus dantys turi polinkį įgauti tamsesnį atspalvį, dažniausiai gelsvą arba gelsvai rusvą. Apie dantų spalvos pakitimų prevenciją ir priežastis kalbame su Kauno odontologijos klinikos „Angitia“ burnos higieniste […]
. Kiekvienų metų trečiąjį lapkričio ketvirtadienį minima Tarptautinė nerūkymo diena. Jos tikslas – visiems priminti rūkymo žalą žmogaus organams, įskaitant ir dantis. Nors rūkymo žala dažniausiai asocijuojasi su plaučių vėžiu, lėtine obstrukcine plaučių liga (LOPL) ir širdies bei kraujagyslių ligomis – pagrindine mirties priežastimi visame pasaulyje ir Lietuvoje – tačiau nuodingų dūmų traukimo į plaučius […]
Lai nešokiruoja skaitytojų šio straipsnio nuotraukos – jos ne iš siaubo filmo. Tai – realybė. Taip „patraukliai“ atrodyti, save žaloti ir savo gyvybę pasmerkti fiziniam, moraliniam bei psichologiniam skausmui pasirenkama laisva valia. Ko trūksta žmogui, kad apsispręstų kvaišalais naikinti savo gyvenimą? Gal informacijos apie kvaišalais naikinamus žmonių gyvenimus ir žmogiškąją išvaizdą, kurios neatsiejama dalis yra […]
Dantų ėduonis yra dažniausia vaikų liga išsivysčiusiose šalyse. Vidutiniškai apie 40 % vaikų dantų ėduonis prasideda dar ikimokykliniame amžiuje. Vaikų dantų ėduonis yra rimta problema, nes dantų ligos yra betarpiškai susijusios su sveikata apskritai: didina cukraligės, širdies ligų ir kt. riziką. Dėl dantų ėduonies dantų skausmą kenčiantiems vaikams natūraliai tenka ir dažniau praleisti pamokas, prastėja […]

