Dantų ligų prevencija

Kokie tobuli bebūtų šiandien atkuriamosios odontologijos pasiekimai, svarbu įsidėmėti, kad dar didesnė vertybė yra nuosavi dantys. Jų vertė ir svarba aiškėja, o sveikatos ir socialinės problemos patiriamos tik šį savo brangų turtą – nuolatinius dantis – negrįžtamai praradus.
Dantų ligų prevencija Kauno odontologijos klinikoje „Angitia“ – tai kruopšti odontologo profilaktinė apžiūra ir profesionali burnos higiena, dantų mineralizacija specialia odontologine medžiaga su fluoru specialiose kapose, fluoro aplikacija, spartus periodonto gydymas ir stabdymas FotoSan lempa bei kitos reikiamos procedūros.
Nors minkštuosius danties audinius (pulpą) bei šaknų kanalus su kraujagyslėmis ir nervais saugo labai kieti emalio ir dentino sluoksniai, tačiau neprižiūrimų dantų šiuos tvirtus sluoksnius suardo dantų ėduonies bakterijos. Jei tokie pažeisti dantys negydomi – ėduonis suardo kietąjį danties paviršių ir atveria tiesiausią kelią infekcijai ne tik į minkštuosius danties audinius – pulpą, bet ir į danties šaknų kanalus.

Negydomo dantų ėduonies dažna pasekmė – danties šaknies galūnėje ardanti žandikaulio kaulą cista
Danties šaknų kanalais patogeniniai mikrobai keliauja link danties šaknies galo ir sukelia kitas rimtas problemas, dažniausiai – danties šaknies kanalo ir paties žandikaulio kaulo uždegimą, įvairius pūlinius bei cistas; jų vietoje suardomas žandikaulio kaulas. Tokiu atveju kyla pavojus viso organizmo sveikatai, nes patogenai kraujotakos sistema pernešami ir į kitus organus. Infekcija, esanti galvos srityje, yra ypač pavojinga.
Norint išsaugoti ilgai negydytą dantį ar infekcijos pažeistą žandikaulio kaulą, laukia sudėtingesnis, brangesnis ir ilgiau trunkantis endodontinis gydymas arba chirurginė intervencija. Jei dantis nesugydomas, suprantama, jį tenka pašalinti.
Prevencija yra kelio užkirtimas, užbėgimas už akių. Prevencija odontologijoje – tai tinkama dantų priežiūra, ankstyvi teisingos priežiūros įgūdžiai, visavertė mityba, ir sveikas, be žalingų įpročių, gyvenimo būdas.
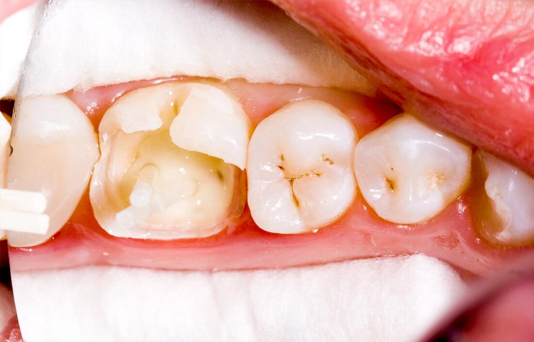
Nuosavų dantų išsaugojimui labai svarbu kas pusę metų arba nors kasmet lankytis pas odontologą profilaktinei dantų apžiūrai ir burnos higienai. Iš tikrųjų burnos higienos metu visuomet atliekama ir profilaktinė burnos bei dantų apžiūra. Jos metu įsitikinama, ar dantys sveiki, ar yra ėduonies pažeistų vietų, kurias galima nesudėtingai ir nebrangiai užplombuoti vieno apsilankymo pas endodontologą metu. Pabrėžtina, kad šių visiškai neskausmingų, nebrangių ir nesudėtingų procedūrų metu odontologas pastebi danties ėduonies (karieso) vos pažeistas vietas ir tuoj pat sustabdo pavojingą dantų ardymo procesą.
Jeigu suardytas danties emalis bei dentinas, tuomet reikalingas ilgesnis danties ar jo šaknies gydymas.

Kol dantų ėduonis nesuardo danties emalio ir dentino, tokias paviršines arba vidutinio gylio ertmes galima užplombuoti vieno apsilankymo metu, ir gyvybingą dantį galima išsaugoti visą gyvenimą.
- Sveikas dantis
- Dantų ėduonies (karieso)pažeistas paviršinis emalio sluoksnis
- Dantų ėduonies pažeistas dentino sluoksnis
- Negydomas dantų ėduonis toliau ardo kietuosius danties audinius; dar palaukus – infekcija patektų į danties ertmės minkštuosius audinius

5–6. Negydomo dantų ėduonies ertmė, pasiekusi minkštuosius danties audinius, reiškia būsimą infekciją.
7–8. Negydoma ir nestabdoma infekcija plinta danties šaknies kanalais iki žandikaulio kaulo, formuojasi pūlinys, o jo vietoje suardomas žandikaulio kaulas.
Burnos higienistė, įvertinusi kiekvieno paciento individualią dantų būklę ir jų imlumą apnašoms, paskiria, kokiu dažnumu lankytis pas burnos higienistą ir detaliai paaiškina, kaip tinkamai prižiūrėti dantis: kas jiems kenkia, ko vengti, kokio kietumo naudoti dantų šepetėlį. Tačiau kiekvienas pacientas prižiūri savo dantis pats. Kuo sąmoningiau tai vyksta, tuo sveikesni dantys.
Dažnos priežastys, lemiančius dantų sveikatos būklę:
- Jau minėta sąmoninga dantų priežiūra; ypač svarbu ankstyvi įgūdžiai
- Mityba – saikingas saldumynų, gazuotų gėrimų vartojimas
- Gyvenimo būdas be žalingų įpročių – be rūkymo, be alkoholio
- Traumų vengimas; nepažeistą dantį lengviau išlaikyti sveiką
- Genetinės priežastys. Pavyzdžiui, jei dėl genetikos sukandimas yra netaisyklingas, gali būti sunkiau išvalyti tarpdančius. Todėl kaupiasi bakterijos, kenkiančios emaliui ir ne tik.
Nuolatinė dantų priežiūra bei reguliari burnos higiena yra labai svarbios visais atvejais, visomis aplinkybėmis. Pabrėžtina, kad besikaupiančius dantų akmenis ant dantų paviršiaus ir ypač – po dantenomis – gali pašalinti tik burnos higienistas su specialia įranga. Kietosios dantų apnašos, susidariusios iš bakterijų, virusų, maisto likučių ir seilių, nevalomos skverbiasi po dantenomis, sukelia dantenų uždegimą, formuoja dantų kišenes, todėl dantys atsipalaiduoja. Kadangi procesas negrįžtamas, dantys iškrenta.

Dantų akmenys, nuslinkę po dantenomis, sukelia periodonto uždegimą, galintį pasibaigti dantų praradimu.
- Apie dantį formuojasi kietųjų apnašų sluoksnis, arba dantų akmenys
- Nenuvalyti dantų akmenys plinta po dantenomis, sukelia periodonto uždegimą, formuojasi dantenų „kišenės“.
- Nuvalius dantų akmenis, nedidelės dantenų „kišenės“ susitraukia pačios, o sudėtingesniais atvejais reikalingas gydymas.
- Progresuojančio periodontito atveju labai giliose dantenų „kišenėse“ dantys atsipalaiduoja negrįžtamai ir ne visuomet juos įmanoma išsaugoti.
Klinikos „Angitia“ odontologai siekia, kad pacientai išsaugotų savo dantis kuo ilgiau sveikus arba – nors laiku sugydytus. Patyrusiojo endodontologo kokybiškai užplombuoti dantys pačioje dantų ėduonies pradžioje arba sugydytos dantų šaknys ženkliai supaprastina dantų atkūrimo procedūrą. Danties karūnėlės likutį su sveika ar sugydyta šaknimi yra paprasčiau ir pigiau protezuoti, nei prarastą dantį implantuoti.

Sugydyto danties nedidelis kiekis prieš protezavimą sutvirtintas stiklo pluošto kaiščiais

Po endodontinio gydymo danties likučiai sutvirtinami dirbtiniu vainikėliu
Dantų ligų prevencija – ne tik kasdieniai dantų priežiūros įpročiai, tinkamas gyvenimo būdas, bet ir profesionalus odontologo ir burnos higienisto indėlis. Jei reguliariai užsukate į odontologijos kliniką profilaktinei dantų apžiūrai ir burnos higienai – užtikrintai apsaugote savo dantis nuo įvairių ligų, o ypač – nuo dantų ėduonies ir skaudžių jo padarinių – dantų praradimo ir negydomų dantų infekcijos plitimo po visą organizmą bei jos sukeltos rizikos sveikatai.
Burnos higiena kartu su profilaktine apžiūra yra nebrangi, visiškai neskausminga ir trunka neilgai, palyginus su pasekmių gydymu, šių procedūrų neatliekant. Laiku sugydžius vos pažeistus dantis, juos galima išsaugoti visam gyvenimui.
Kiti panašūs įrašai
. Šypsena gali atverti daugybę durų tiek asmeniniame, tiek profesiniame gyvenime. Deja, ne visi žmonės gali drąsiai šypsotis. Dažna priežastis – netobuli dantys, kuriuos paveikė ligos, traumos ar tiesiog bėgantis laikas. Tokiais atvejais gali padėti odontologijos klinika „Dantų estetika“ –vieta, kur rūpestis, nuoširdus bendravimas ir profesionalumas leidžia jaustis užtikrintai nuo pirmo vizito. Kodėl svarbu […]
Labai svarbu prižiūrėti dantis dėl daugelio priežasčių, kurios apima ne tik burnos sveikatą, bet ir bendrą organizmo būklę bei gyvenimo kokybę: Burnos sveikata: Karieso (dantų ėduonies) prevencija: Reguliarus valymas pašalina maisto likučius ir bakterijas, kurios gamina rūgštis, ardančias dantų emalį ir sukeliančias kariesą. Periodonto ligų (gingivito ir periodontito) prevencija: Bakterijos, besikaupiančios ant dantų ir […]
Greičiausiai nė vienas nenustebs išgirdęs, jog norint turėti gražią ir sveiką šypseną, būtina tinkama dantų bei burnos priežiūra. Visgi, reikėtų turėti omenyje, jog vien dantų šepetėlio tam tikrai nepakanka. Siekiant maksimaliai gero rezultato, rekomenduojama į savo burnos priežiūros rutiną įtraukti irigatorių. Šis prietaisas yra skirtas dantims, dantenoms ir liežuviui efektyviai valyti, naudojant siaurą, aukšto slėgio […]
Baltų, sveikų dantų šypsena yra kiekvieno žmogaus tarsi vizitinė kortelė, įsimintina įvaizdžio dalis ir puikios sveikatos atspindys. Tačiau dėl įvairių subjektyvių ir objektyvių priežasčių per ilgesnį laiką nuolatiniai žmogaus dantys turi polinkį įgauti tamsesnį atspalvį, dažniausiai gelsvą arba gelsvai rusvą. Apie dantų spalvos pakitimų prevenciją ir priežastis kalbame su Kauno odontologijos klinikos „Angitia“ burnos higieniste […]
. Kiekvienų metų trečiąjį lapkričio ketvirtadienį minima Tarptautinė nerūkymo diena. Jos tikslas – visiems priminti rūkymo žalą žmogaus organams, įskaitant ir dantis. Nors rūkymo žala dažniausiai asocijuojasi su plaučių vėžiu, lėtine obstrukcine plaučių liga (LOPL) ir širdies bei kraujagyslių ligomis – pagrindine mirties priežastimi visame pasaulyje ir Lietuvoje – tačiau nuodingų dūmų traukimo į plaučius […]
Lai nešokiruoja skaitytojų šio straipsnio nuotraukos – jos ne iš siaubo filmo. Tai – realybė. Taip „patraukliai“ atrodyti, save žaloti ir savo gyvybę pasmerkti fiziniam, moraliniam bei psichologiniam skausmui pasirenkama laisva valia. Ko trūksta žmogui, kad apsispręstų kvaišalais naikinti savo gyvenimą? Gal informacijos apie kvaišalais naikinamus žmonių gyvenimus ir žmogiškąją išvaizdą, kurios neatsiejama dalis yra […]
Dantų ėduonis yra dažniausia vaikų liga išsivysčiusiose šalyse. Vidutiniškai apie 40 % vaikų dantų ėduonis prasideda dar ikimokykliniame amžiuje. Vaikų dantų ėduonis yra rimta problema, nes dantų ligos yra betarpiškai susijusios su sveikata apskritai: didina cukraligės, širdies ligų ir kt. riziką. Dėl dantų ėduonies dantų skausmą kenčiantiems vaikams natūraliai tenka ir dažniau praleisti pamokas, prastėja […]

