Dantų būklė – jų priežiūros ir gyvenimo būdo rezultatas

Ar įmanoma įsivaizduoti didžiųjų žiemos švenčių – šv. Kalėdų ir Naujųjų metų – džiaugsmą be šypsenos, o šypseną – be sveikų baltų dantų? Išsaugoti visą gyvenimą visus nuosavus dantis be odontologo pagalbos – šiais laikais itin retas reiškinys. Dantų būklė tiesiogiai susieta su tinkama jų priežiūra ir gyvenimo būdu. Šie įgūdžiai suformuojami vaikystėje.
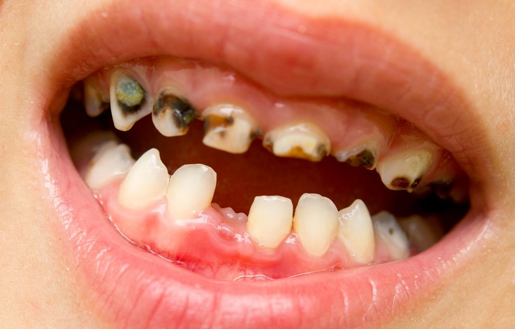
Vaikų dantų būklės situacija Lietuvoje
Kad ir kaip netikėtai nuskambėtų, tačiau pagerėjus pragyvenimo lygiui, vaikų ir suaugusiųjų dantų būklė prastėja. Kasdien spartėjant gyvenimo tempui, daliai dirbančiųjų ar užsiėmusiųjų savo verslais vis mažiau lieka laiko ir dėmesio savo bei savo vaikų sveikatai, o ypač – dantų būklei ir priežiūrai.

Dantų ėduonies pažeistus dantis atkurti sudėtingiau, nei išsaugoti sveikus
Kai kurių šaltinių duomenimis, maždaug nuo 2012 m. ikimokyklinio amžiaus vaikai su pažeistais dantų ėduonies, arba karieso, dantimis, sudaro apie 90 %, ir šia bloga statistika Lietuva smarkiai lenkia ir ES vidurkį, ir kitas šalis. Pvz., Švedijoje tokio pat amžiaus vaikų su pažeistais dantimis yra tik apie 10%.
Apie 75 % trimečių vaikų dantys jau yra pažeisti dantų ėduonies, arba karieso, o šešiamečių vaikų tarpe dantų ėduonis paplitęs dar labiau – iki 94%.
Paauglių dantų situacija ne ką geresnė – apie 85 % 12 m. vaikų yra su karieso pažeistais dantimis, o penkiolikmečių, išsaugojusių sveikus nuolatinius dantis, galima sakyti, pasitaiko atskiri atvejai.
Negydomų dantų pavojai
Suaugusiųjų dantų priežiūros įgūdžiai formuojami nuo ankstyvos vaikystės – su tuo ir susieta suaugusiųjų dantų būklė. Todėl į gendančius vaikų dantis – tiek pieninius, tiek nuolatinius – negalima „numoti ranka“. Nuo vaikų pieninių dantų būklės tiesiogiai priklauso ir nuolatinių dantų užuomazgų vieta ir būklė, ir kaip taisyklingai ar ne tie nuolatiniai dantys išdygs.

Besiformuojančios nuolatinių dantų užuomazgos po pieniniais dantimis
Vaikų pieninius dantis būtina išsaugoti sveikus arba nors laiku suplombuotus, kol nuolatinių dantų užuomazgų keliami, pieniniai dantys atsipalaiduos natūraliai, ir vaikų odontologas padės juos pašalinti. Nuolatinių dantų užuomazgų vystymuisi bei taisyklingam dantų dygimui nepalanku, jeigu sugedę pieniniai dantys negydomi ir pašalinami per anksti arba per vėlai.
Dantų sveikatos svarba visam organizmui
Dantys, kaip ir bet kuri kita kūno dalis, nėra izoliuoti nuo viso organizmo, ir taip nebūna, kad viena kūno dalis serga, o žmogus jaučiasi visiškai sveikas.
Kol dantis dar nesukelia skausmo, dalis žmonių tarsi toleruoja ne tik savo pačių, bet ir savo vaikų progresuojančias dantų bei dantenų ligas, o kitų organų sutrikimų visiškai nesieja su tikrąja galima priežastimi – iš negydomų dantų patekusia infekcija.

Dėl nevalomų kietųjų dantų apnašų galima prarasti sveikatą ir dantis
Iš danties arba dantenų uždegiminio židinio patogeniniai mikrobai kraujotakos sistema cirkuliuoja po visą organizmą ir, įsikūrę silpnesnėse organizmo vietose, pažeidžia atskirus organus arba jų sistemas.
Nesugydžius dantų ir nepašalinus infekcijos, galima ilgai gydyti sutrikdytos sveikatos simptomus, paliekant galimybę progresuoti priežasčiai – netrukdomai plisti po visą organizmą negydomų dantų infekcijai ir atakuoti silpniausias organizmo vietas.
Dantų infekcijos židinys yra tikra „pagalba“ kitų ligų sukėlėjams. Organizmą silpnina bet kuri infekcija, o žmogaus imuninė sistema, kiek galėdama, su ja kovoja.
Jeigu patogeninių mikrobų ataka stipri – žmogaus, o ypač vaiko, organizmas, neatlaikęs nelygios kovos, suserga. Neprižiūrėti ir laiku negydomi dantys prarandami savo ruožtu.
Tinkamos dantų priežiūros ir profesionalios burnos higienos svarba
Dantų nepriežiūra ir laiku neatlikta profesionali higiena – dažna dantų praradimo priežastis. Kauno odontologijos klinika „Angitia“ siūlo neužmiršti šios elementarios tiesos ir atsakingai ugdyti savo vaikų dantų priežiūros įgūdžius savo pačių pavyzdžiu. Prireikus profesionalios dantų priežiūros pagalbos –- mielai padeda „Angitia“ burnos higienistė Gabija Babrauskaitė.

Reguliari burnos higiena – sveikų dantų išsaugojimo esminė sąlyga
Esminiai burnos higienos etapai Kauno odontologijos klinikoje UAB „Angitia“
- Kietosios apnašos (dantų akmenys) nuvalomi ultragarsiniu skaleriu
- Minkštosios patamsėjusios apnašos nupučiamos oro, vandens ir sodos miltelių srove
- Dantys kruopščiai nupoliruojami, kad lygus jų paviršius būtų lengviau valomas ir „nekibtų“ apnašos.
Šiais burnos higienos privalumais įsitikinsite iškart:
- Vizitas neužima daug laiko
- Procedūros metu galite atsipalaiduoti – jokių nemalonių pojūčių
- Individualiai parenkamos higienos priemonės ir tinkamiausi dantų priežiūros būdai
- Po burnos higienos procedūros dantys tarsi palengvėja, jaučiama nuostabi burnos švara ir gaiva.
- Burnos higienistė, įvertinusi individualų dantų imlumą apnašoms paskiria reguliarų burnos higienos procedūros dažnumą. Optimalu atlikti burnos higieną du kartus per metus.
Kiti panašūs įrašai
. Šypsena gali atverti daugybę durų tiek asmeniniame, tiek profesiniame gyvenime. Deja, ne visi žmonės gali drąsiai šypsotis. Dažna priežastis – netobuli dantys, kuriuos paveikė ligos, traumos ar tiesiog bėgantis laikas. Tokiais atvejais gali padėti odontologijos klinika „Dantų estetika“ –vieta, kur rūpestis, nuoširdus bendravimas ir profesionalumas leidžia jaustis užtikrintai nuo pirmo vizito. Kodėl svarbu […]
Labai svarbu prižiūrėti dantis dėl daugelio priežasčių, kurios apima ne tik burnos sveikatą, bet ir bendrą organizmo būklę bei gyvenimo kokybę: Burnos sveikata: Karieso (dantų ėduonies) prevencija: Reguliarus valymas pašalina maisto likučius ir bakterijas, kurios gamina rūgštis, ardančias dantų emalį ir sukeliančias kariesą. Periodonto ligų (gingivito ir periodontito) prevencija: Bakterijos, besikaupiančios ant dantų ir […]
Greičiausiai nė vienas nenustebs išgirdęs, jog norint turėti gražią ir sveiką šypseną, būtina tinkama dantų bei burnos priežiūra. Visgi, reikėtų turėti omenyje, jog vien dantų šepetėlio tam tikrai nepakanka. Siekiant maksimaliai gero rezultato, rekomenduojama į savo burnos priežiūros rutiną įtraukti irigatorių. Šis prietaisas yra skirtas dantims, dantenoms ir liežuviui efektyviai valyti, naudojant siaurą, aukšto slėgio […]
Baltų, sveikų dantų šypsena yra kiekvieno žmogaus tarsi vizitinė kortelė, įsimintina įvaizdžio dalis ir puikios sveikatos atspindys. Tačiau dėl įvairių subjektyvių ir objektyvių priežasčių per ilgesnį laiką nuolatiniai žmogaus dantys turi polinkį įgauti tamsesnį atspalvį, dažniausiai gelsvą arba gelsvai rusvą. Apie dantų spalvos pakitimų prevenciją ir priežastis kalbame su Kauno odontologijos klinikos „Angitia“ burnos higieniste […]
. Kiekvienų metų trečiąjį lapkričio ketvirtadienį minima Tarptautinė nerūkymo diena. Jos tikslas – visiems priminti rūkymo žalą žmogaus organams, įskaitant ir dantis. Nors rūkymo žala dažniausiai asocijuojasi su plaučių vėžiu, lėtine obstrukcine plaučių liga (LOPL) ir širdies bei kraujagyslių ligomis – pagrindine mirties priežastimi visame pasaulyje ir Lietuvoje – tačiau nuodingų dūmų traukimo į plaučius […]
Lai nešokiruoja skaitytojų šio straipsnio nuotraukos – jos ne iš siaubo filmo. Tai – realybė. Taip „patraukliai“ atrodyti, save žaloti ir savo gyvybę pasmerkti fiziniam, moraliniam bei psichologiniam skausmui pasirenkama laisva valia. Ko trūksta žmogui, kad apsispręstų kvaišalais naikinti savo gyvenimą? Gal informacijos apie kvaišalais naikinamus žmonių gyvenimus ir žmogiškąją išvaizdą, kurios neatsiejama dalis yra […]
Dantų ėduonis yra dažniausia vaikų liga išsivysčiusiose šalyse. Vidutiniškai apie 40 % vaikų dantų ėduonis prasideda dar ikimokykliniame amžiuje. Vaikų dantų ėduonis yra rimta problema, nes dantų ligos yra betarpiškai susijusios su sveikata apskritai: didina cukraligės, širdies ligų ir kt. riziką. Dėl dantų ėduonies dantų skausmą kenčiantiems vaikams natūraliai tenka ir dažniau praleisti pamokas, prastėja […]

