Dantų ligos
Dantų jautrumas
2012 9 lapkričio
Dantų jautrumas yra nemalonus pojūtis, kai vienas ar keli dantys reaguoja į karštą, šaltą, saldų ar rūgštų maistą ar gėrimą, o kartais net ir šaltą orą. Jautrumo jausmas gali būti aštrus, staigus ar gilus, danties ,,nervo“ srityje. Esant dantų jautrumo simptomams pirmiaus...
Kas yra periodontas?
2012 17 liepos
Laiku kreiptis į gydytoją yra itin svarbu, nes periodonto ligos neigiamai veikia viso organizmo sveikatą, o nustatyti tikslią diagnozę, įvertinti prognozę ir paskirti tinkamą periodonto patologijos gydymą gali tik gydytojas, ištyręs Jūsų burnos ertmės būklę. Kas yra periodontas? Peri...
Kad ilgai galėtumėme džiaugtis gražia šypsena
2012 17 liepos
Kauno Implantologijos Centro burnos higienos specialistė Milena Čeraškaitė pasakoja apie elementarias burnos priežiūros taisykles ir dantų implantų priežiūrą. Burnos priežiūros taisyklės: ♦ Dantų valymas. Dantis būtina valyti 2 kartus per dieną – ryte ir vakare po valgio. Jei se...
Griežimas dantimis – kas tai?
2012 17 liepos
Dantų griežimas (bruksizmas) – tai per stiprus dantų sukandimas, susijęs su stipriais žandikaulių judesiais. Kitaip tariant yra sutrikusi ar iškreipta dantų ir žandikaulių sistemos funkcija, kuri dažnai pasireiškia kartu su piršto čiulpimu, lūpos, pieštuko kandžiojimu. Bruksiz...
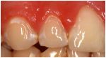
Dantenų recesijos gydymas
2009 27 lapkričio
Dantenų recesija yra būklė, kuomet dantenos atsiskiria nuo danties ir apnuogina danties kaklelį ar netgi dalį danties šaknies. Dantenų recesija dažniausiai diagnozuojama žmonėms, vyresniems nei 40 metų. Dantenos yra minkštas audinys, kuris supa ir palaiko dantis. Dantenų recesijos pasė...
Plikoma arbata mažina dantų eroziją
2009 18 sausio
Odontologai pastebi, kad dažniausiai pasitaikanti dantų erozijos priežastis – saldieji gėrimai. Todėl jie rekomenduoja rinktis nesukeliančias erozijos arbatas. Šių dienų gaivieji gėrimai turi be galo daug cukraus. Bet ne tik cukrus kenkia dantims. Stulbinantis faktas yra tas, kad gėrimu...
Vaikų kariesas susijęs su rūkančiais tėvais
2009 18 sausio
Vaikai, gyvenantys namuose, kuriuose rūkoma – dažniau turi karieso pažeistus dantis. Belgijos odontologai atliko tyrimą, kuriame dalyvavo trejų ir penkerių metų vaikučiai. Kiekvienoje amžiaus grupėje buvo apie 1250 vaikų. Buvo atlikta vaikų dantų apžiūra, išsiaiškinta, kaip dažna...
Baltos dėmės ant dantų
2008 23 lapkričio
Baltos dėmės ant dantų gali atsirasti dėl daugelio faktorių. Kartais tai siejama su mityba, genetiniu paveldėjimu, fluoro pertekliumi. Taip pat dėmės gali atsirasti po breketų sistemos nuėmimo. Kai kuriems vaikams baltos dėmės ant dantų atsiranda augimo laikotarpiu. Paprastai baltos dė...
Kada reikia daryti rentgeno nuotraukas?
2008 23 lapkričio
Kaip dažnai reikėtų kartoti rentgeno nuotraukas, siekiant įvertinti organizmo ar dantų būklę? Nėra nustatyta taisyklių šiai procedūrai atlikti. Kiekvienu skirtingu atveju yra atsižvelgiama į individualius žmogaus poreikius. Oodontologas, peržiūrėjęs ligos istroiją, nuspręs ar rei...
Kodėl reikia rauti protinius dantis?
2008 8 spalio
Protiniai dantys, tai paskutiniai dantys dantų eilėse, esantys už dviejų krūminių dantų. Protiniai dantys raunami, norint išvengti problemų ateityje ar pašalinti esamą uždegimą ar kitą problemą. Kai išdygsta protiniai dantys paparastai susiduriama su nepalankiomis situacijomis. Dažn...

