.jpg)
PROF. E.I. KESER PROF. SERGE DIBART
(Bostono universitetas, JAV) (Bostono universitetas, JAV)
2016 m. kovo 5 d., VILNIUS
Pjezocizija (Piezocision™) yra minimaliai invazyvi chirurginė procedūra skirta pagreitinti ortodontinį dantų judesį. Ji gali būti panaudota gydant pilnus lankus (naudojant įprastas, breketų, technikas arba kapas) arba segmentus, kaip tarpdisciplininis gydymas siekiant dėl funkcinių ar estetinių aspektų pakeisti dalies dantų padėtį. Minimaliai invazyvi procedūros prigimtis susijusi ne tik su minimaliai diskomfortišku pochirurginiu etapu. Pagreitintas strategiškai svarbių dantų padėties pakeitimas leidžia pozicionuoti dantis į pageidaujamas vietas prieš restauracinį gydymą bei sumažinti dantų nušlifavimo apimtį. Pjezocizija (Piezocision™) yra gerai toleruojama pacientų ir visi daugiau odontologų naudoja ją savo praktikoje. Tai naujas metodas odontologo „arsenale“ skatinantis tarpdisciplininį bendradarbiavimą siekiant didžiausios naudos pacientui. Kurso dalyviams bus pristatyti pjezocizijos (Piezocision™) principai, biologinis pagrindimas, klinikiniai aspektai bei galimybės integruoti ją į savo kasdienę praktiką. Kurso medžiaga itin aktuali: chirurgams, periodontologams, ortodontams, protezuotojams, odontologams.
Prof. S. Dibart yra Periodontologijos departamento vadovas Bostono universitete (JAV), penkių vadovėlių apie periodonto plastinę chirurgiją, periodontologiją, kaulo chirurgiją autorius, apie 100 tarptautinių publikacijų bei daugelio pranešimų tarptautinėse konferencijose autorius. Yra sukaupęs didelę patirtį estetinėje implantologijoje, plastinėje dantenų chirurgijoje, yra vienas pagrindinių pjezocizijos (Piezocision™) metodo išradėjų ir tobulintojų.
Prof. E. I. Keser dirba Bostono universitete (JAV), Ortodontijos departamente. Ji yra viena geriausių periodontologiškai pagreitinto ortodontinio gydymo tiek breketais, tiek Invisalign®
sistema specialisčių bei skaito paskaitas šia tema JAV ir užsienyje. Prof. E. I. Keser yra greito ilčių distrakcijos prietaiso kūrėja (JAV patentas).

Pjezocizijos (Piezocision™) atlikimas ir kaulo pakaitalo panaudojimas ortodontiniam gydymui pagreidtinti. (Prof. S. Dibart)
PROGRAMA (sinchroninis vertimas į lietuvių kalbą)
Kovo 5 d. (šeštadienis)
8.30 – 9.00 Registracija.
9.00-11.00 Pjezocizijos (Piezocision™) taikymas odontologijoje. I dalis.
11.00-11.30 Kavos pertrauka.
11.30-13.00 Pjezocizijos (Piezocision™) taikymas odontologijoje. II dalis.
13.00-14.00 Pietūs
14.00-16.00 Pjezocizijos (Piezocision™) taikymas odontologijoje. III dalis.
16.00-16.30 Kavos pertrauka
16.30-18.30 Kaulo pakaitalų ir augimo faktorių bei ląstelių kultūrų (rhBMP-2, mezenchiminės ląstelės, rhPDGF-BB, emalio matricos proteinai, PRF) panaudojimas. Vietinių augimo faktorių indukcija naudojant pjezotomiją (Piezotome®).
18.30-19.00 Diskusija
Programa skirta gydytojams odontologams, periodontologams, burnos chirurgams, ortodontams ir kitiems specialistams besidomintiems inovatyviomis gydymo metodikomis.

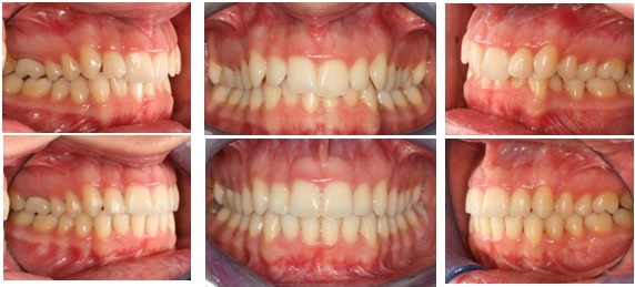
Ortodontinis gydymas naudojant pjezocizijos (Piezocision™) techniką. Rezultatai po 4 mėn.
(Prof. S. Dibart, Prof. E. I. Keser)
RENGINIO VIETA: Crowne Plaza viešbutis, M.K. Čiurlionio g. 84, Vilnius
KURSŲ KAINA (EUR):
Iki 2016 02 14 d. gydytojams – 400, gyd. rezidentams – 250.
Nuo 2016 02 15 d. gydytojams – 500, gyd. rezidentams – 350. Studentams – 150.
Vietų skaičius ribotas !!!
REGISTRACIJA: vykdoma iki 2016 03 01 d. Registruojamasi darant pavedimą:
UAB „ProDentum“, į/k 301097592, sąskaita LT 027044060006129104, AB „SEB Vilniaus bankas“
! Mokėjimo paskirtyje būtina nurodyti: Dalyvio (-ių) (o ne mokėtojo, jeigu skiriasi) vardą ir pavardę, LROR nario numerį (-ius), telefono numerį, e-pašto adresą, 2016 03 05 kursas. Pvz.: Mokėjimo paskirtis: Vardenis Pavardenis, O-0001, 8-xxx-xxxxx, vardenis@gmail.com, 2016 03 05 kursas.
SERTIFIKATAI: Gydytojams bus išduodami 8 val., dantų technikams – 6 val. sertifikatai.
Papildoma informacija: +370 657 62986; kursai@prodentum.lt, http://www.prodentum.lt/gydytojams

