Dr. Stephen Chu yra vienas labiausiai pripažintų estetinės, restauracinės odontologijos bei protezavimo ant dantų implantų specialistų. Estetinio protezavimo programos direktorius Kolumbijos universitete, Niujorke. Taip pat dirba Niujorko universitete, bei privačioje praktikoje Niujorke. Turi didelę patirtį estetinėje odontologijoje ne tik kaip gydytojas, tačiau kaip ir dantų technikas. Daugelio žurnalų estetinės odontologijos tema redakcinių kolegijų narys, daugelio mokslinių publikacijų autorius, 8 vadovėlių estetinės odontologijos tema autorius, „Chu“ (Hu-Friedy) estetinio periodontologinio zondo sukūrėjas.
Estetinis dantų implantų protezavimas yra viena problematiškiausių ir sudėtingiausių šiuolaikinės odontologijos sričių, tad šis kursas yra viena retesnių progų sužinoti apie naujausias tendencijas estetinėje implantologijoje iš specialisto turinčio ilgametę praktiką su įvairiomis implantų sistemomis.
Pirmoje kurso dalyje bus aptariami proteziniai aspektai estetinėje odontologijoje. Diskutuojama, kokios naujos metodikos leidžia išgauti geriausią estetinį rezultatą per trumpiausią terminą, aptariami ilgalaikiai estetiniai rezultatai, rizikos faktoriai ir gydymo planavimas naudojant neatidėliotiną implantaciją ir neatidėliotiną protezavimą. Aptariama protezinių komponentų įtaka kaului ir minkštiesiems audiniams, atspaudų, cementavimo technikos.
Vienas didžiausių iššūkių klinikos komandai – estetinės komplikacijos apie dantų implantus. Antroje kurso dalyje bus apžvelgtos dažniausiai pasitaikančios komplikacijos estetinėje zonoje ir patikimiausios strategijos jas spręsti. Bus pristatyti ir paprasti, ir sudėtingi klinikiniai tokių estetinių problemų sprendimo atvejai naudojant chirurgines, ortodontines, periodontologines bei protezines manipuliacijas.
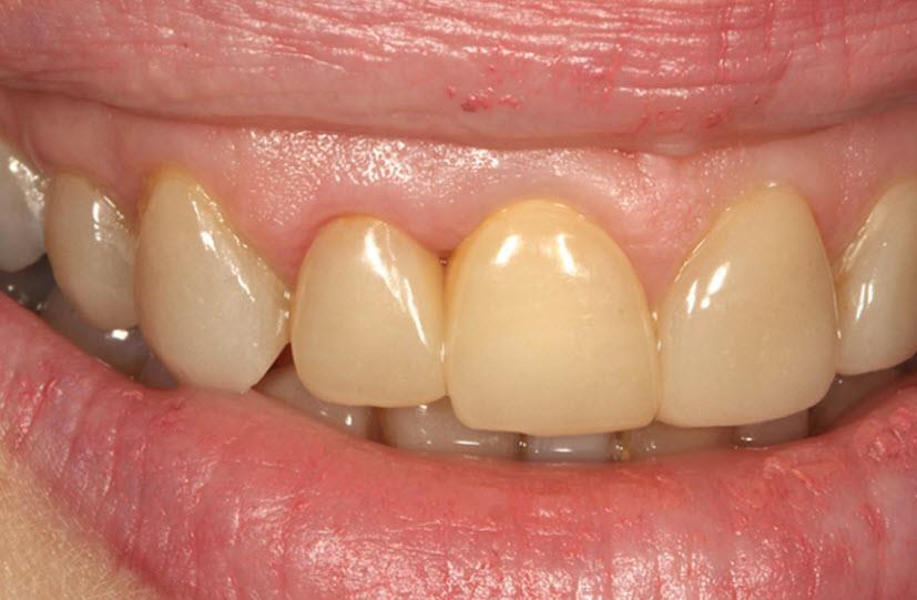
KLINIKINĖS KURSO MEDŽIAGOS ILIUSTRACIJOS
I DALIS. PROTEZINIAI ASPEKTAI ESTETINĖJE IMPLANTOLOGIJOJE
Matricos (angl. shell) panaudojimas formuojant podanteninį vainikėlių kontūrą (atliekama neatidėliotina implantacija, kaulo priauginimas, laikino vainikėlio pritaikymas)
II DALIS. ESTETINIŲ PROBLEMŲ APIE DANTŲ IMPLANTUS SPRENDIMAI
Tarpdančio papilos netekimas ir jos atstatymas kompleksinėmis priemonėmis (viršuje).
Dantenų recesijos apie dantų implantą iš bukalinės pusės gydymas (apačioje).

PROGRAMA (sinchroninis vertimas į lietuvių kalbą)
Kovo 28d. (šeštadienis)
8.30-9.00 Registracija.
9.00-11.00 Proteziniai aspektai estetinėje implantologijoje I.
11.00-11.30 Kavos pertrauka.
11.30-13.00 Proteziniai aspektai estetinėje implantologijoje II.
13.00-14.00 Pietūs
14.00-16.00 Estetinių problemų apie dantų implantus sprendimai I
16.00-16.30 Kavos pertrauka
16.30-18.30 Estetinių problemų apie dantų implantus sprendimai II
18.30-19.00 Diskusija
RENGINIO VIETA: Crowne Plaza viešbutis, M.K. Čiurlionio g. 84, Vilnius
KURSŲ KAINA (EUR):
Iki 2015 02 01d. gydytojams – 550, dantų technikams – 400.
Nuo 2015 02 02d. gydytojams – 700, dantų technikams – 550.
Studentams – 150.
Vietų skaičius ribotas (iki 40 dalyvių)!!!
REGISTRACIJA: vykdoma iki 2015 03 23 d. Registruojamasi darant pavedimą:
UAB „ProDentum“, į/k 301097592, sąskaita LT 027044060006129104, AB „SEB Vilniaus bankas“
! Mokėjimo paskirtyje būtina nurodyti: Dalyvio (-ių) (o ne mokėtojo, jeigu skiriasi) vardą ir pavardę, LROR nario numerį (-ius), telefono numerį, e-pašto adresą, 2015 03 28 kursas. Pvz.: Mokėjimo paskirtis: Vardenis Pavardenis, O-0001, 8-xxx-xxxxx, vardenis@gmail.com, 2015 03 28 kursas.
SERTIFIKATAI: Gydytojams bus išduodami 8 val., dantų technikams – 6 val. sertifikatai.
Papildoma informacija: +370 657 62986; kursai@prodentum.lt, http://www.prodentum.lt/gydytojams
Tarpdantinės papilos trūkumo tarp dviejų dantų implantų chirurginis-protezinis sprendimas

