DT MICHAEL BERGLER
Pensilvanijos universitetas,
CAD/CAM keramikų centras, JAV
2015 m. birželio 4 d., VILNIUS
Per keletą pastarųjų metų rinkoje atsirado didelis skaičius naujų CAD/CAM sistemų, kurių dėka galima išgauti žymiai didesnį tikslumą ir patikimumą lyginant su tradicinėmis technikomis. Pokyčiai apima ne tik restauracijų gamybos procesą, bet ir naują medžiagų grupę. Estetinių savybių (pvz. skaidrumas) darna su reikiamomis mechaninėmis bei biologinėmis savybėmis leido cirkonio ir aliuminio oksido keramikoms tapti realia metalų lydinių alternatyva. Ilgalaikei sėkmei pasiekti bei norint maksimaliai išnaudoti medžiagų savybes, odontologas ir dantų technikas turi labai gerai suprasti šių medžiagų klinikines indikacijas, privalumus ir trūkumus bei žinoti klinikinio ir laboratorinio darbo protokolus. Taip pat svarbu žinoti CAC/CAM programinės įrangos, frezavimo mašinų, CAD/CAM medžiagų apdirbimo bei jų derinimo su skirtingomis apdailinės keramikos medžiagomis ypatumus. Žinant šiuos niuansus, bemetalės keramikos restauracijų indikacijos prasiplečia nuo pavienių iki viso dantų lanko kompleksinių restauracijų.
Kurso metu bus pristatytos ir aptartos įvairių CAD/CAM sistemų galimybės ir ribos, aptartos šiuolaikinių skenerių ir programinių įrangų ypatybės ir jų praktinis panaudojimas odontologijos praktikoje. Bus pateiktos patikimos skaitmeninės restauracijų gamybos eigos rekomendacijos, įskaitant ir intraoralinių skenerių panaudojimo galimybes. Bus aptartos skirtingos skenavimo technologijos ir paaiškintos skaitmeninio restauracijų ant dantų bei implantų dizaino subtilybės. Naudojant klinikinius atvejus bus aptarti pilno dantų lanko CAD/CAM restauracijų gaminimo bei medžiagų apdirbimo ypatumai.
M. Bergler yra dantų technikos meistras (studijos Vokietijoje, JAV, Japonijoje), vienas žymiausių CAD/CAM specialistų, įsteigęs keletą CAD/CAM centrų Vokietijoje bei JAV, tarptautinių publikacijų, vadovėlių autorius, patentų savininkas ir technologijų kūrėjas. Dirba su daugelių estetinės odontologijos specialistų – G. Chiche, I. Gamborena, M. Blatz, St. Chu ir t.t. Šiuo metu vadovauja Pensilvanijos universiteto CAD/CAM keramikų centrui.
PROGRAMA (sinchroninis vertimas į lietuvių kalbą)
Birželio 4 d. (šeštadienis)
8.30-9.00 Registracija.
9.00-11.00 CAD/CAM dantų protezavimo technologijos I
11.00-11.30 Kavos pertrauka.
11.30-13.00 CAD/CAM dantų protezavimo technologijos II
13.00-14.00 Pietūs
14.00-16.00 CAD/CAM dantų protezavimo technologijos III
16.00-16.30 Kavos pertrauka
16.30-18.30 CAD/CAM dantų protezavimo technologijos IV
18.30-19.00 Diskusija
RENGINIO VIETA: Crowne Plaza viešbutis, M.K. Čiurlionio g. 84, Vilnius


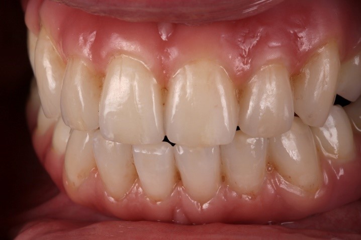
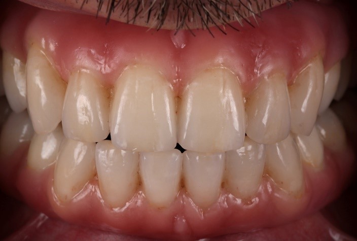
Pilno dantų lanko CAD/CAM bemetalės restauracijos viršutiniame bei apatiniame žandikauliuose (darbo autorius d.t. M. Bergler)
KURSŲ KAINA (EUR):
Iki 2016 05 09 d. gydytojams – 400, dantų technikams – 250.
Nuo 2016 05 10 d. gydytojams – 500, dantų technikams – 350.
Studentams – 150.
Vietų skaičius ribotas (iki 40 dalyvių)!!!
REGISTRACIJA: vykdoma iki 2016 06 03 d. Registruojamasi darant pavedimą:
UAB „ProDentum“, į/k 301097592, sąskaita LT 027044060006129104, AB „SEB Vilniaus bankas“
! Mokėjimo paskirtyje būtina nurodyti: Dalyvio (-ių) (o ne mokėtojo, jeigu skiriasi) vardą ir pavardę, LROR nario numerį (-ius), telefono numerį, e-pašto adresą, 2016 06 04 kursas. Pvz.: Mokėjimo paskirtis: Vardenis Pavardenis, O-0001, 8-xxx-xxxxx, vardenis@gmail.com, 2016 06 04 kursas.
SERTIFIKATAI: Gydytojams bus išduodami 8 val., dantų technikams – 8 val. sertifikatai.
Papildoma informacija: +370 657 62986; kursai@prodentum.lt, http://www.prodentum.lt/gydytojams

